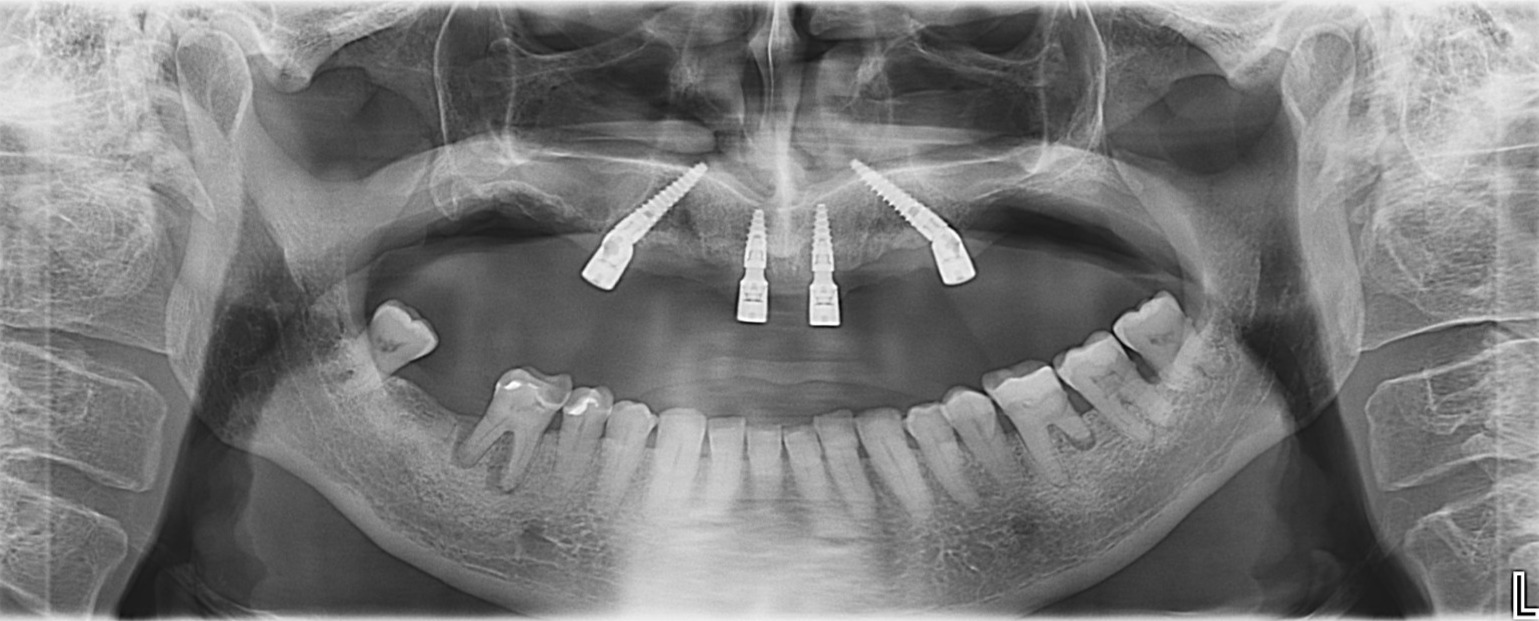
Metoda All-on-4 je svetovna uspešnica na področju zobozdravstva. Namenjena je brezzobim pacientom, izvaja pa se z digitalnim oblikovanjem zob.
Z minimalno invazivnim ALL ON 4 // ALL ON 6 postopkom vam bomo omogočili fiksne zobe na implantatih - popolno sanacijo zobovja z 4 zobnimi vsadki; dva ki se postavita ravno in dva pod kotom. Tako se preprečijo nekatere anatomske strukture in nadomestilo kosti. Po namestitvi vsadkov sledi priprava začasnega fiksnega mostu na zobne vsadke, ki se lahko izvede že v roku enega dneva po vsaditvi implantatov. Po 6 mesecih se pripravi dokončni fiksni most.
Revolucionarni zobni implantati dolžine tudi do 55 mm odpravljajo potrebo po presaditvi kosti ali dvigom sinusa, saj se vgrajujejo neposredno v jagodične kosti v katerih je dovolj opore za implantate. Ti implantati predstavljaju resnično najboljšo alternativo dolgotrajnemu procesu nadomeščanja (augmentacija) kosti, ki je bila včasih edina rešitev za paciente z hudo resorpcijo čeljustne kosti.
V primeru izjemnega pomanjkanja kosti, ko standardni posegi All on 4 niso mogoči, pa opravljamo rehabilitacijo s sistemi All on 4, ki vključujejo najnovejše subperiostalne, Zygoma ali pterygoidne implantate. Paciente oskrbimo z zobmi že v enem dnevu. V zahtevnejši primerih opravljamo kirurško sedacijo, čas celjenja po operaciji pa je hiter.
Posebna ponudba ALL-on-4
novi fiksni zobje na zobnih implantatih
4300 €
4 zobni vsadki + en fiksni zobni lok
V implantološkem centru Žargi pri metodi All on 4 uporabljamo sistem proizvajalca NeoArch®, ki omogoča takojšnje, zanesljive in visokokakovostne fiksne brezzobne rešitve, ki temeljijo na preverjenih konceptih zobnih vsadkov švicarskega proizvajalca Neodent (Straumann) po dostopni ceni.
Povrnitev nasmeha v enem dnevu!
Naraščajoča pričakovanja glede krajšega trajanja zobozdravstvenega zdravljenja v primeru, ko ima pacijent enega ali več zobnih vsadkov predstavljajo velik izziv za vsakega zobozdravnika. Še posebej je to izrazito pri brezzobih pacientih z anatomskimi pomanjkljivostmi, kjer klasični implantološki postopki trajajo dolgo časa. Zobni implantacijski sistem Neodent® švicarskega proizvajalca Straumann ponuja inovativno in optimizirano rešitev za takojšnje fiksne protokole zdravljenja brezzobih pacientov. Ta vrsta implantacijskega sistema omogoča boljše zadovoljstvo pacientov in kakovost življenja s takojšnjo obnovo zobne funkcije in estetike.
Takojšnja funkcionalnost povzroči krajši čas zdravljenja
- Nagnjeni zadnji implantati zmanjšajo uporabo postopkov cepljenja.
- Optimizirana zasnova vsadka za doseganje visoke primarne stabilnosti pri vseh vrstah kosti.
- Neodent® hidrofilna površina Acqua je bila zasnovana za takojšen dostop krvi do površine vsadka.
Takojšnja estetika naravnega videza
- Širok nabor možnosti višine dlesni, ki ustreza pacientovim potrebam.
- 6 možnosti ravnanja naslon in po 3 možnosti za kot 17° in 30°
Takojšenj duševni mir
- Ena povezava ne glede na različne premere.
- Edinstvena povezava, ki združuje preklapljanje platforme, povezano z globokim 16° Morsejevim konusom, vključno z notranjo indeksacijo..
Prednosti ALL ON 4 implantiranja s sistemom NeoArch®®
- Fiksni zobje v samo 12ih urah
- Potreben zgolj en obisk pri zobozdravniku
- Možna takojšnja obremenitev - trenutna funkcija
- Občutno izboljšanje kakovosti življenja
- Bistveno nižja cena od klasične terapije vsadkov in fiksnih mostičkov
- Brez presaditev kosti in dodatnih posegov
- Rekonstrukcija zob ene čeljusti na 4 zobne vsadke
- Naraven videz zob in občutek enotnosti
- Enostavno vzdrževanje ustne higiene
- Ohranjanje vitalnih struktur

